Kalcinacija v rami je pogosto patološko stanje ramenskega sklepa, ki prizadane predvsem populacijo med 30-50 letom starosti, pogosteje pa se pojavlja pri ženskah. Dejavnik tveganja za nastanek stanja kalcinacija rame je sladkorna bolezen, predhodna poškodba rame, predvsem mišic in tetiv rotatorne manšete ali pa tudi izpah rame, nepravilna telesna drža, daljša imobilizacija roke npr. po zlomu.
Poznamo dve vrsti kalcinacij v rami, degenerativna kalcinacija v rami in reaktivna kalcinacija v rami. Prva je značilna za starejše in nastane postopoma zaradi izgube kakovosti kolagenskih vlaken vezivnega tkiva rame in postopnega nastanka mikropoškodb. Reaktivna kalcinacija rame nastane kot posledica predhodne poškodbe, travme, težav s ščitnico ali v povezavi z drugimi značilnimi dejavniki tveganja.
Kalcinacija v rami se lahko v primeru, da ni zdravljena z ustrezno fizioterapijo razvije v sindrom zamrznjene rame, ki povzroča hujšo bolečinsko stanje ramena.
Za stanje kalcinacija rame je značilen trofazni cikel, ki lahko traja do 5 let, v kolikor so prisotne hormonalne motnje in ni izvajanega zdravljenja lahko traja tudi do 8 let.
Za kalcinacijo rame je značilna bolečina, ki se poslabša z mirovanjem in negibanjem rame, tipična je nočna bolečina, ki moti spanje in povzroča intenzivno bolečino v primeru ležanja na prizadeti rami. Bolečine zaradi kalcinacije rame se običajno začnejo nenadoma, so ostre in omejujejo gibanjem roke nad glavo. Pogosto je stoječ položaj za paciente s prisotno kalcinacijo rame bolj ugoden kot ležeči položaj.
Za kalcinacijo rame je značilna intenzivna bolečina na sprednji ali zadnji strani rame, ki pogosto seva v nadlaht, lahko tudi do nivoja komolca in zapestja. V kolikor imate prisotno tudi mravljinčenje v prstih, ne gre za težave povezane s kalcinacijo rame, obstaja pa sum na sindrom karpalnega kanala.
Kalcinacija rame nastaja v 3 fazah, bolečinsko izrazita je tretja faza, ko pride do sproščanja kalcijevih kristalov iz tetive v njeno okolico. Fizioterapijo in kineziologijo običajno izvajamo v tretji fazi kalcinacije rame, saj je ta pred tem v večini primerov asimptomatska, kar pomeni, da stika s pacienti takrat nimamo.
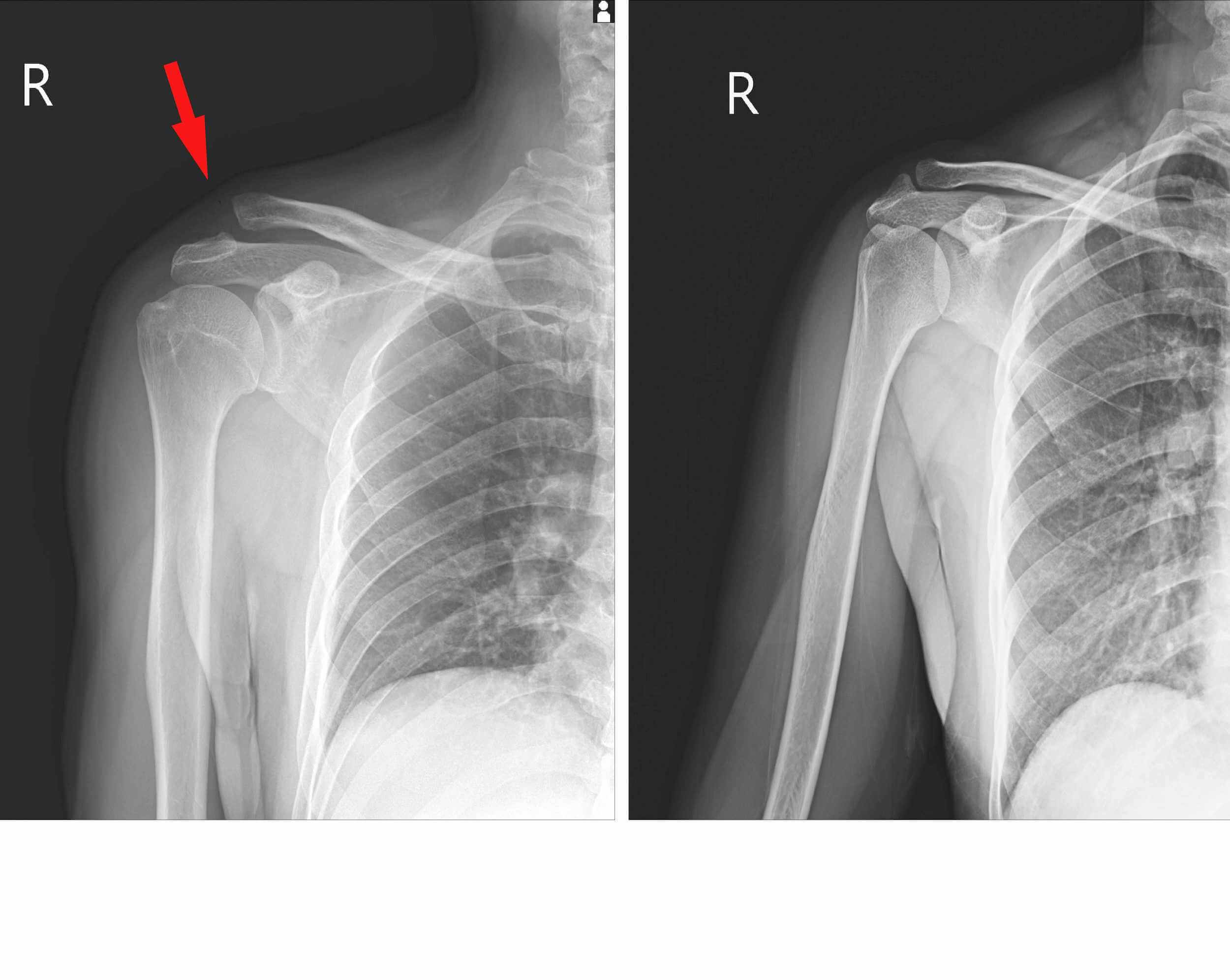
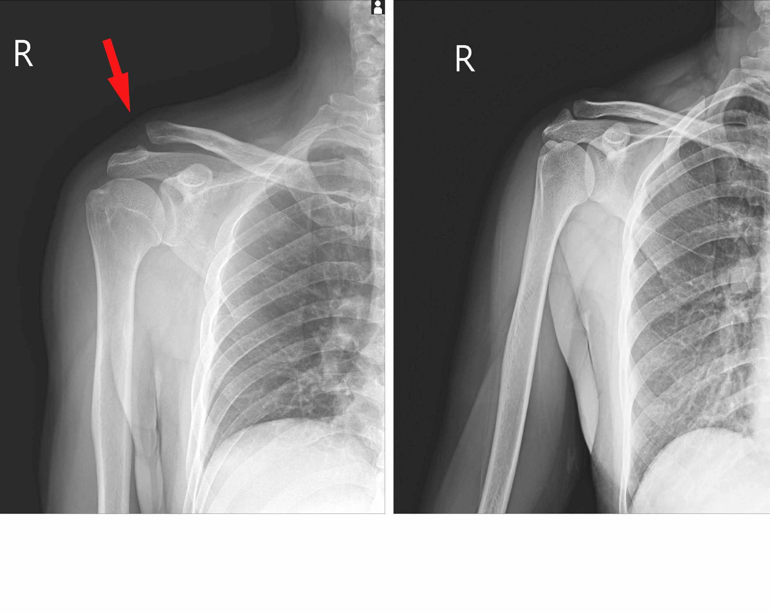
Zanesljiva diagnostična metoda za pregled rame, kjer obstaja sum na kalcinacije je ultrazvočna preiskava (UZ) pri specialistu radiologu. Z ultrazvočnim slikanjem se natančo določi lokacijo kalcijevih kristalov in njihovo velikost, lahko pa se uporablja tudi kot metoda spremljanja napredka konzervativnega zdravljenja kalcinacije rame.
Zdravljenje stanja kalcinacija v rami je kompleksno, zahteva celostni konzervativni pristop z združevanjem fizioterapije in kineziologije. Kirurško zdravljenje se izvede le pri 5–10% pacientov, kadar gre za ne uspešno zdravljenje s fizioterapijo po preteku vsaj 9 mesecev neprekinjene rehabilitacije.
Primarna metoda fizioterapije za zdravljenje stanje kalcinacija rame so udarni globinski valovi v kombinaciji z aktivno mobilizacijo rame in vajami za krepitev rotatorne manšete. Uporablja se tudi TECAR in LASER terapija ter elektroterapija, ki mora biti visokotonska, v kliniki Medicofit uporabljamo HiTop. Zdravljenje stanja kalcinacija v rami mora v zaključni fazi vključevati tudi vaje za razvoj moči potiskanja in vlečenja nad glavo, saj ne pridobitev moči v končnih obsegih gibov nad glavo predstavlja tveganje za ponoven pojav kalcinacij.
Pomembno je, da je zdravljenje kombinirano vsako terapijo, udarni globinski valovi morajo biti natančno odmerjeni v jakosti in ne smejo sprožati intenzivnega bolečinskega odziva na terapijo, kljub temu, da spadajo med bolj invazivne metode instrumentalne terapije. Udarni globinski valovi so najučinkovitejše sredstvo konzervativnega zdravljenja kalcinacije rame, vendar jih morajo vedno spremljati specialne vaje, ki okrepijo ključne mišične skupine.