Roke uporabljamo za vse, od težkih delovnih opravil do dejavnosti, ki zahtevajo fino motoriko. Sčasoma se lahko sklepni hrustanec v dlaneh in prstih obrabi in nastane stanje, znano kot osteoartroza. Osteoartroza oz. osteoartritis lahko povzroči rast Heberdenovih in Bouchardovih vozličov na sklepih prstov.
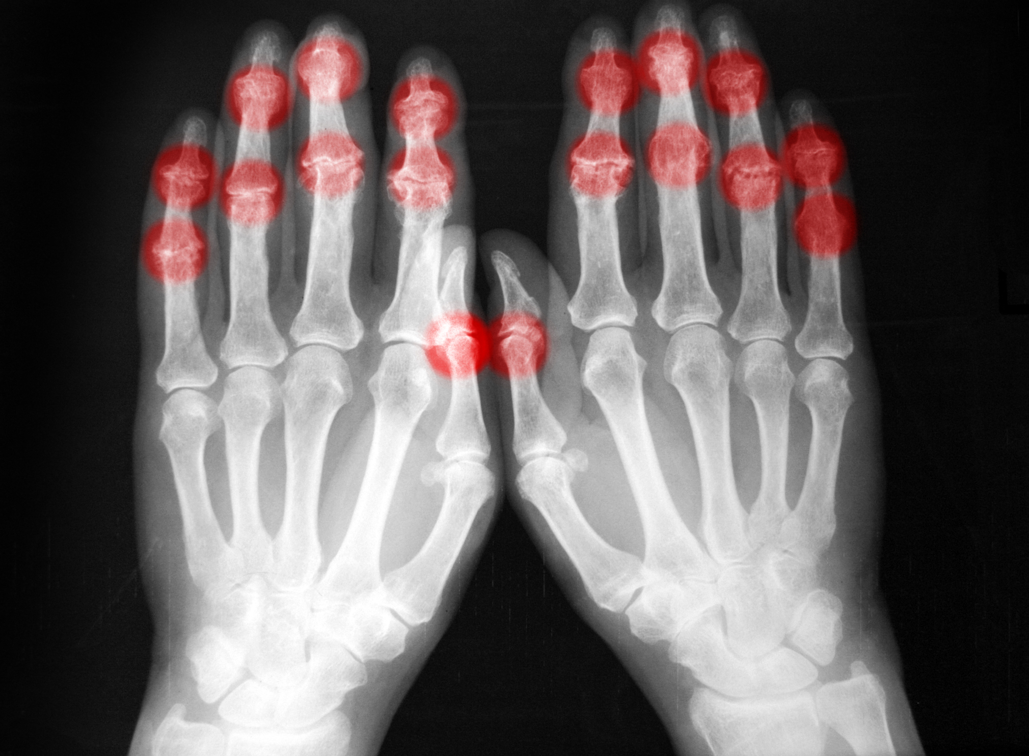
Kostne izrastke na sklepu, ki je najbližje nohtu, imenujemo Heberdenovi vozliči. Izrastke na srednjem sklepu prsta pa imenujemo Bouchardovi vozliči.
Ali ste vedeli, da so izrastki pogosti tudi na bazi palca? Te izbokline nimajo posebnega vzdevka, povzroča pa jih rizartroza (artroza palca).
To stanje lahko poskušate preprečiti in zdraviti na različne načine. V nadaljevanju si preberite pregled tega stanja in različnih vzrokov, simptomov in načinov zdravljenja, ki jih uporabljamo v Kliniki Medicofit.
Heberdenovi in Bouchardovi vozliči so posledica degenerativne bolezni sklepov, imenovane osteoartritis. Do te bolezni pride, ko se zaščitni hrustanec (čvrsto in prožno tkivo) na koncih kosti sčasoma obrabi.
Brez zdravega sklepnega hrustanca se lahko grobi kostni konci drgnejo med seboj in povzročajo vnetje, bolečine in omejeno gibljivost. Čeprav lahko osteoartritis prizadene katerikoli sklep, običajno prizadene roke, kolke, kolena in hrbtenico. Ker za nastanek potrebuje več let, je bolezen najpogostejša med starejšimi odraslimi.
Kako točno pride do Heberdenovih in Bouchardovih vozličov? Pri zdravih prstih se kosti v sklepu dobro prilegajo druga drugi in med premikanjem in upogibanjem prstov zlahka drsijo druga proti drugi. To je zato, ker gladek, mehak hrustanec blaži kosti.
Ko pa tkivo okoli kosti propade, je gladko gibanje onemogočeno. Naravni odziv telesa je, da poskuša popraviti hrustanec in pospeši rast novih kosti v sklepu, pri čemer pa nastanejo vozliči ali kostni izrastki.
Kdo ima tveganje za nastanek Heberdenovih in Bouchardovih vozličev?
Heberdenovi in Bouchardovi vozliči so enako pogosti pri moških in ženskah vseh ras.
Pogosteje jih vidimo pri starejših osebah, vendar je več kot polovica bolnikov s Heberdenovimi vozliči in osteoartritisom diagnosticirana še pred 65. letom starosti, saj se običajno najprej pojavijo tipične bolečine v sklepih.
Bouchardovi vozliči so manj pogosti kot Heberdenovi vozliči in so običajno povezani s hujšim potekom artritisa. Prisotnost vozličev ima tudi določeno genetsko komponento, saj se pogosto prenašajo iz roda v rod.
Več kot 60 % bolnikov z osteoartritisom kolena, ki sicer nima nujno bolečin v rokah, ima prisotne Heberdenove vozliče, kar še dodatno potrjuje hipotezo, da je osteoartroza sistemsko stanje.
Kakšne simptome povzročijo Heberdenovi in Bouchardovi vozliči?
Simptomi Heberdenovih in Bouchardovih vozličev so predvsem bolečine v rokah in prstih, zlasti okoli sklepov. Bodite pozorni na rdečino, oteklino in izrastke v velikosti graha ali gomoljasta, grbasta področja, ki bi lahko predstavljali.
Heberdenov vozlič je kostni izrastek distalnega interfalangealnega sklepa (DIP), Bouchardov vozlič pa kostni izrastek proksimalnega interfalangealnega sklepa (PIP).
Kostni izrastek lahko prizadene lateralni ali sredinski del sklepa.
Na enem prstu je lahko prisotnih več vozličev.
Vozliči lahko prizadenejo enega ali več prstov – najpogosteje srednji prst ali palec.
Rastejo lahko počasi ali hitro.
Vozliči se lahko vnamejo in postanejo boleči, lahko pa so neboleči in neopazni.
Bolečina in vnetje lahko omejita tudi gibljivost prstov, saj se hrapavi konci sklepa ne premikajo drug ob drugega tako zlahka kot pri zdavem hrustancu.
Prsti so lahko otrpli, šibki ali togi, zlasti če jih poskušate prijemati predmete. Morda bo težko opravljati vsakodnevna opravila, kot so tipkanje, pisanje ali odpiranje steklenic.
Če imate katerega od zgoraj naštetih simptomov, je pomembno, da opravite nadaljnjo diagnostiko.
Diagnostika Heberdenovih in Bouchardovih vozličev
Diagnostika Heberdenovih in Bouchardovih vozličev temelji na kliničnem pregledu prstov, ki vključuje oceno simptomov, pregled sklepov in njihove gibljivosti ter palpacijo za odkrivanje morebitnih manjših vozličev.
Rentgenski posnetki nam pomagajo pri potrditvi prisotnosti vozličev in hkrati ocenijo resnost degenerativnih sprememb sklepnega hrustanca. V redkih primerih lahko zdravnik za natančnejšo oceno stanja, ali pri nejasnih znakih, predlaga tudi slikanje z magnetno resonanco (MRI) ali ultrazvok.
Zdravljenje Heberdenovih in Bouchardovih vozličev
Večina načinov zdravljenja Heberdenovih in Bouchardovih vozličev vključuje zmanjšanje bolečine in povečanje gibljivosti. Eden od najboljših načinov za zdravljenje je, da prstom omogočite počitek. Če vsak dan prste močno obremenjujete, poskušajte preiti na manj intenzivne dejavnosti.
Ključnega pomena je, da pacienti razumejo naravo njihove bolezni, potek osteoartritisa prstov ter kako lahko s pravilnim upravljanjem ohranjajo mobilnost in gibljivost prizadetih sklepov.
Program terapevtske vadbe v kliniki Medicofit je osredotočen na izboljšanje moči, vzdržljivosti in gibljivosti mišic prstov ter s tem zmanjšanje obremenitve na prizadetih sklepih. Postopno in nadzorovano povečevanje obremenitve je ključno za preprečevanje poslabšanja simptomov.
Tehnike, kot so udarni valovi (ESWT in RSWT), TECAR terapija, sklepna mobilizacija in laserska terapija, so lahko koristne pri lajšanju bolečin, zmanjšanju vnetja ter izboljšanju gibljivosti prstnih sklepov. Te tehnike lahko prispevajo k zmanjšanju simptomov Heberdenovih in Bouchardovih vozličev.
Vsak pacient ima svoje specifične potrebe in značilnosti, zato je pomembno, da se terapevtski pristop prilagodi posamezniku glede na njegovo stanje, stopnjo bolezni in cilje zdravljenja.
V primeru vztrajanja bolečine v prstih, kljub fizioterapevtski obravnavi se lahko razmisli o kirurškem posegu, kjer se odstrani kostne izrastke, sklepe pa fiksira – za poseg se pacienti redko odločijo, saj vodi v okrnjeno gibljivost.
Naročite se na zdravljenje Heberdenovih in Bouchardovih vozličev
Schedel, J., Wimmer, A., Friedrich, A., Buttner, R., Scholmerich, J., & Muller-Ladner, U. (2003). Unusual co-incidence of Heberden’s and Bouchard’s osteoarthritis, rheumatoid arthritis and haemochromatosis. Rheumatology (Oxford, England), 42(9), 1109–1111. https://doi.org/10.1093/rheumatology/keg272
Dr. John Knight. (2021). What Are Heberden’s and Bouchard’s Nodes?. Available from: https://handandwristinstitute.com/what-are-heberdens-and-bouchards-nodes/. [Accessed: 14/4/2024].