Psoriatični artitis – kaj je in kako ga uspešno obvladamo?
- Sep 28 -
Kazalo
Ali ste se že srečali s psoriatičnim artritisom ali poznate koga, ki se sooča s to boleznijo? Ali veste, kako lahko sami prispevate k obvladovanju simptomov psoriatičnega artritisa? Morda imate luskavico in se sprašujete zakaj so se pojavile še bolečine v sklepih?
Psoriatični artritis je oblika artritisa, ki spada v skupino spondiloartritisov in prizadene nekatere ljudi s kožno boleznijo, imenovano luskavica (psoriaza). Luskavica povzroča rdeče madeže na koži, ki so prekriti s srebrnimi luskami.
Ali ste vedeli, da večina ljudi najprej razvije luskavico, šele leta kasneje pa jim diagnosticirajo psoriatični artritis? Pri približno 15% pacientov težave s sklepi nastopijo še pred pojavom kožnih sprememb.
Glavni znaki in simptomi vključujejo bolečine, otrdelost in otekanje sklepov, ki se pojavijo kjerkoli v telesu, vključno s prsti na rokah in hrbtenico.
Na žalost za psoriatični artritis še ne poznamo zdravila. Zdravljenje je usmerjeno v obvladovanje simptomov in preprečevanje poškodb sklepov – brez zdravljenja lahko bolezen povzroči hudo omejitev gibljivosti in upad funkcije sklepov.
Kako vas v kliniki Medicofit vodimo do svobodnega gibanja brez bolečin in omejitev ter vašim sklepom vrnemo polno moč in optimalno funkcijo, vam predstavljamo v nadaljevanju.
Psoriatični artritis je kronična vnetna bolezen, ki prizadene sklepe in se običajno pojavlja pri ljudeh, ki imajo tudi kožno bolezen znano kot luskavico.
Psoriatični artritis je raznolika bolezen, ki se glede na klinične vzorce deli v pet glavnih podskupin:
1. Nesomerni oligoartikularni artritis (15-20% bolnikov): najpogosteje vpliva na sklepe prstov na rokah in nogah ter sklepe blizu prstov na nogah. Včasih se sklepi lahko nabreknejo in prsti izgledajo kot klobase.
2. Prizadetost distalnih interfalangealnih sklepov s spremembami nohtov (2-5% bolnikov): Pri tej vrsti so najbolj prizadeti sklepi na koncih prstov in lahko opazimo spremembe na nohtih.h.
3. Somerni poliartritis (50-60% bolnikov): Ta najpogostejši podtip psoriatičnega artritisa klinično spominja na revmatoidni artritis. Ta oblika je pogostejša pri ženskah, včasih pa lahko vključuje kombinacijo revmatoidnega artritisa in kožne luskavice.
4. Pohabljajoči artritis (artritis mutilans, 5% bolnikov): To je najresnejša in najbolj destruktivna oblika, pri kateri prihaja do uničenja majhnih sklepov na prstih rok in nog.
5. Sakroiliitis in spondilitis (20-40% bolnikov): Ta oblika vpliva na hrbtenico, zlasti na vrat, spodnji del hrbta in križnico.
Razvrščanje po tipih ni vedno enostavno, saj se klinične značilnosti pogosto prepletajo, kar lahko privede do raznolikega vzorca prizadetosti sklepov pri posamezniku. Pri vseh podtipih bolezni je fizioterapevtsko zdravljenje nepogrešljivo.
Simptomi psoriatičnega artritisa
Psoriatični artritis in luskavica sta kronični bolezni, ki se sčasoma poslabšujeta. Vendar pa se lahko pojavijo obdobja, ko se simptomi izboljšajo ali začasno umirijo – govorimo o zagonih in remisijah.
Bolezen lahko vpliva na sklepe na eni ali obeh straneh telesa. Znaki in simptomi psoriatičnega artritisa pogosto spominjajo na tiste pri revmatoidnem artritisu – vendar je luskavični artritis običajno nesimetričen. Obe bolezni povzročata bolečine, otekanje in občutek toplote in okorelost v sklepih.
Otekanje prstov na rokah in nogah. Bolezen lahko povzroči bolečino in otekanje prstov, ki mu rečemo daktilitis – klobasasti prsti.
Bolečine v stopalu. Psoriatični artritis lahko povzroči bolečine na mestih, kjer se kite in vezi pritrdijo na kosti, še posebej na zadnjem delu pete (Ahilova tetiva) ali na podplatu stopala (plantarni fasciitis).
Bolečine v križu. Nekateri ljudje razvijejo stanje, imenovano spondilitis, kot posledico psoriatičnega artritisa. Spondilitis povzroča predvsem vnetje sklepov med vretencami hrbtenice in v sklepih med hrbtenico in medenico (sakroiliitis).
Spremembe nohtov. Na nohtih se lahko pojavijo majhne vdolbinice (jamice), nohti se cepijo ali se ločijo od posteljice nohta.
Vnetje oči. Uveitis lahko povzroči bolečine v očeh, pordelost in zamegljen vid. Če se ne zdravi, lahko uveitis vodi v poslabšanje vida.
Simptomi so na začetku lahko precej blagi in prikriti, zato je za paciente s prisotno luskavico še posebej pomembno, da so pozorni na novo nastale bolečine v sklepih.
Pravočasno diagnoza bolezni in ustrezno fizioterapevtsko zdravljenje sta ključna pri preprečevanju nastanka nepovratnih poškodb sklepov.
Luskavica je precej pogosta kožna bolezen, ki prizadene približno 1 do 3 odstotke ljudi. Pri približno 20 do 30 odstotkih bolnikov z luskavico razvije tudi psoriatični artritis – je vnetna bolezen sklepov.
Ali ste vedeli, da bolezen običajno prizadene ljudi v starostnem obdobju med 30. in 50. letom ter se pojavlja enako pogosto tako pri moških kot pri ženskah?
Natančnega vzroka za nastanek psoriatičnega artritisa še ne poznamo. Gre za multifaktorno bolezen, ki nastane kot posledica genetskega ozadja in okoljskih dejavnikov.
Eden izmed najpomembnejših dejavnikov za nastanek je genetska predispozicija. Če imate družinsko anamnezo luskavice ali psoriatičnega artritisa, imate večje tveganje za razvoj bolezni.
V osnovi gre za imunsko pogojeno bolezen, kjer naš imunski sistem napade lastno tkivo – kožo in vezivo v sklepih in kitah.
Kako postavimo diagnozo psoriatičnega artritisa?
Diagnoza bolezni se postavi predvsem glede na prisotnost kliničnih znakov, kar pa predstavlja problem predvsem pri tistih, kjer se artritis pojavi brez prisotnih kožnih sprememb.
Diagnozo psoriatičnega artritisa postavi specialist revmatolog in temelji na prisotnosti kožne luskavice in kroničnem vnetju sklepov, vključno s hrbtenico in križno-medeničnimi sklepi (sakroiliakalni sklepi).
Laboratorijski testi lahko kažejo prisotnost vnetnih markerjev, vendar pri tej bolezni ne najdemo pozitivnih testov na revmatoidni faktor, kar jo uvršča med serološko negativne vnetne revmatične bolezni.
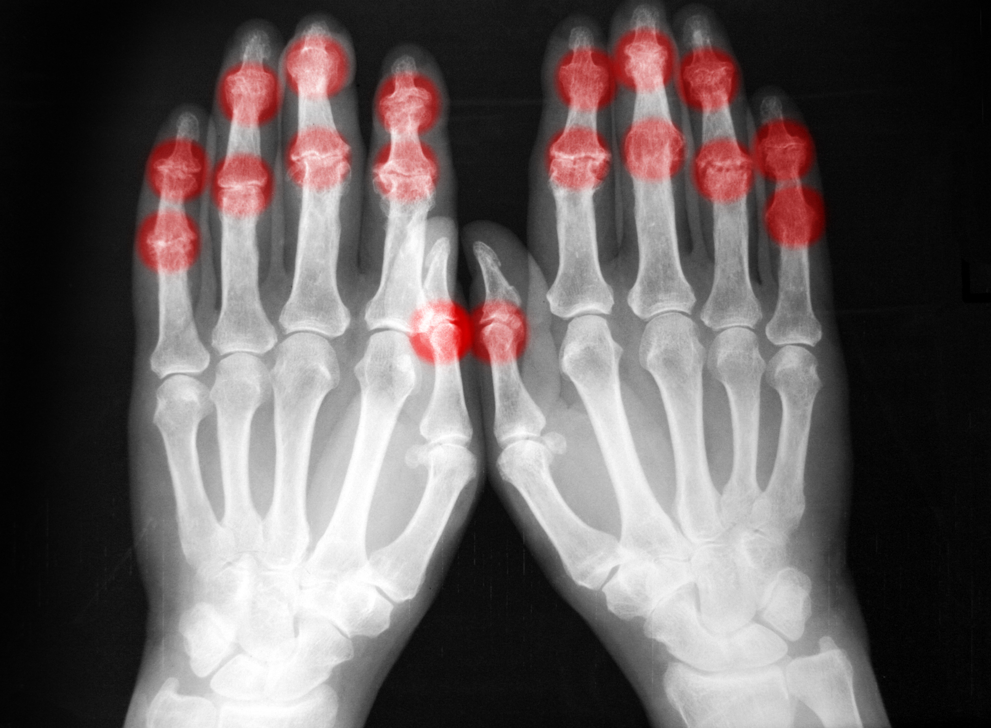
Rentgenske slike sklepov lahko pokažejo značilne spremembe, ki dodatno podpirajo diagnozo.
Zdravljenje
Zdravljenje psoriatičnega artritisa vključuje različne pristope za obvladovanje simptomov in preprečevanje poškodb sklepov. Obstajajo različna zdravila in terapevtske možnosti, ki se uporabljajo za zdravljenje te bolezni.
Fizioterapija in izobraževanje sta izjemno pomembna pri obvladovanju psoriatičnega artritisa. Fizioterapevtske metode vam lahko pomagajo izboljšati gibljivost sklepov in okrepiti mišice ter upočasniti napredek vaše bolezni.
Vas zanima kakšna zdravila se uporabljajo?
Nesteroidna protivnetna zdravila (NSAR): Običajno se začne zdravljenje s temi zdravili, ki pomagajo zmanjšati vnetje in lajšajo bolečine. NSAR so lahko učinkoviti pri blažjih oblikah artritisa, spondilitisu, daktilitisu in entezitisu.
Zdravila, ki spreminjajo potek bolezni: Če NSAR niso učinkoviti ali če bolezen napreduje, lahko zdravnik predpiše zdravila, ki spreminjajo potek bolezni. Ta zdravila pomagajo preprečevati poškodbe sklepov. Pri bolnikih s poliartikularno obliko bolezni je pomembno začeti zdravljenje s temi zdravili čim prej. V nekaterih primerih, ko so klasična zdravila neučinkovita, se lahko uporabljajo biološka zdravila ali tarčna sintezna zdravila.
Ali ste vedeli, da je včasih potreben kirurški poseg? V zelo redkih primerih, ko je artritis povzročil hudo poškodbo sklepov, lahko nezdravljena bolezen vodi v uničenje sklepa – potrebno je popravilo sklepov ali celo zamenjava sklepa.
Zdravljenje z novejšimi zdravili je v kombinaciji s sodobno fizioterapijo izredno učinkovito pri obvladovanju simptomov vaše bolezni in v večini primerov uspešno zaustavi napredek sklepnih poškodb. Kako poteka zdravljenje v kliniki Medicofit vam predstavljamo v nadaljevanju.
Celostno zdravljenje psoriatičnega artritisa v kliniki Medicofit
V kliniki Medicofit vas sprejme multidisciplinarni tim strokovnjakov, ki so razvili celostni načrt rehabilitacije psoriatičnega artritisa, ki je pri nas sestavljen iz štirih faz: diagnostični pregled, akutna fizioterapija, postakutna kinezologija in preventivna kinezioterapija.
Diagnostični pregled
Fizioterapevt začne diagnozo s temeljito oceno vašega stanja, kar vključuje analizo simptomov, funkcionalnih sposobnosti in drugih morebitnih zdravstvenih težav.
Pomemben je temeljit začetni diagnostični pregled, saj nam omogoča celostno razumevanje vašega stanja. Ta pregled vključuje naslednje korake:
Anamneza je temeljit pogovor o vaših sedanjih in preteklih težavah. V tem koraku skrbno pregledamo simptome in klinične znake ter iščemo morebitne izven-sklepne manifestacije revmatskih bolezni.
Pregled specialističnih izvidov – S seboj prinesite specialistične izvide in izvide slikovne diagnostike, v kolikor jih imate.
Inspekcija in palpacija – Vsak sklep temeljito pregledamo in preučimo. Iščemo spremembe v barvi kože nad sklepom, prisotnost luskavičnega izpuščaja, vidne deformacije sklepov, mišično atrofijo in primerjamo prizadet sklep z zdravim (na drugi strani telesa)
Testiranje gibljivosti – Izvajamo teste artrokinematike in preverjamo gibljivost sklepov tako pasivno kot aktivno gibljivost.
Testiranje mišične moči – Preverjamo mišično moč, saj lahko psoriatični artritis povzroči oslabitev mišic zaradi vnetja in poškodb sklepa.
Slikovna diagnostika – V nekaterih primerih je potrebna slikovna diagnostika, kot so RTG, MRI, CT ali ultrazvok, ki pomaga pri potrditvi diagnoze in spremljanju napredovanja bolezni.
Na podlagi rezultatov diagnostičnega pregleda bomo pripravili individualen načrt zdravljenja, ki je prilagojen vašim potrebam.
Akutna fizioterapija
Na začetku vašega terapevtskega procesa vas sprejmejo fizioterapevti, ki so specializirani za obravnavo bolečin v sklepih, ki jih povzroča artritis.
Fizioterapija igra pomembno vlogo pri izboljšanju kakovosti življenja osebe s psoriatičnim artritisom. Fizioterapevtsko zdravljenje se osredotoča na izobraževanje, izboljšanje obsega gibanja, krepitev mišic ter splošno kardiovaskularno kondicijo.
V akutni fazi zdravljenja je naš glavni cilj zmanjšati bolečino in vnetje v sklepih ter izboljšati vašo gibljivost. Izvajamo specialne fizioterapevtske vaje in različne terapevtske tehnike, kot so manualna terapija, terapija prožilnih točk in mobilizacijo sklepov ter mehkih tkiv.
Ker želimo zagotoviti najboljšo izkušnjo naših pacientov, pri fizioterapevtskem zdravljenju uporabljamo najnovejše terapije in naprave za fizioterapijo. Te naprave igrajo ključno vlogo pri spodbujanju regeneracije in celjenju mikropoškodb, ki nastanejo pri sklepnem vnetju.
Pri zdravljenju psoriatičnega artritisa je poseben poudarek na protivnetni terapiji, ki učinkovito zmanjša vnetje in bolečine v sklepih.
Nekatere od naprav, ki jih uporabljamo v naši kliniki Medicofit, vključujejo:
TECAR WINTECARE terapijo,
Visoko-energijski SUMMUS laser,
Ultrazvočno terapijo,
6D akcijsko terapijo in
Visokotonsko elektrostimulacijo HiTOP.
Ko dosežemo zadostno olajšanje bolečin, se osredotočimo na izvajanje fizioterapevtskih vaj, ki so namenjene krepitvi mišic okoli sklepov in pravilnemu izvajanju gibov.
Postakutna kineziologija
Gibanje in močna obsklepna muskulatura sta ključnega pomena za zdrave sklepe, zato bodo strokovnjaki s področja kineziologije za vas pripravili poseben program individualno vodene vadbe.
Kineziološka vadba igra pomembno vlogo pri obvladovanju psoriatičnega artritisa. Gre za vrsto vadbe, ki je posebej prilagojena posameznikom s to obliko artritisa. Naši strokovnjaki razvijejo in vodijo vadbeni program, ki cilja na izboljšanje gibljivosti, krepitev mišic, povečanje stabilnosti sklepov ter zmanjšanje bolečin in sklepnega vnetja.
Osredotočili se bomo na izboljšanje stabilnosti sklepov – še posebej hrbtenice in prstov, ki so največkrat prizadeti, krepitev mišic okoli sklepov ter izvajanje vaj za povečanje obsega gibljivosti.
Ko dosežemo zadosten napredek, bomo prešli na vaje za povečanje mišične moči in povrnitev polne obremenilne sposobnosti sklepov. Vadbo bomo prilagajali vsakemu posamezniku glede na njegove sposobnosti in potrebe.
Preventivna kinezioterapija
Postrehabilitacijski program ima pomembno vlogo pri obvladovanju psoriatičnega artritisa. Gre za pristop, ki poudarja vadbo in telesno aktivnost kot sredstvo za preprečevanje poslabšanja stanja.
V naši kliniki za fizioterapijo in rehabilitacijo, Medicofit, se zavedamo škodljivih učinkov dolgotrajnega neaktivnega stanja na sklepe. Zato smo za vas pripravili poseben program, ki je namenjen ohranjanju optimalne telesne funkcije.
Preventivna kinezioterapija je usmerjena v ohranjanje zdravih sklepov, izboljšanje gibljivosti in mišične moči ter zmanjšanje vnetja.
Naš preventivni program se osredotoča na krepitev mišic in celotnega telesa, kar pozitivno vpliva na zdravje vseh vaših sklepov. S tem programom želimo preprečiti morebitne nove poškodbe in upočasniti napredovanje psoriatičnega artritisa.
V naši kliniki se osredotočamo na celostno izboljšanje vašega zdravja in počutja, pri čemer upoštevamo najnaprednejše metode zdravljenja psoriatičnega artritisa.
Kakšna je prognoza bolezni?
Vnetje pri psoriatičnem artritisu poteka z obdobji poslabšanj in izboljšanj – koliko zagonov bo imela bolezen je odvisno predvsem od vašega aktivnega sodelovanja pri zdravljenju.
Slabši izid bolezni je običajno povezan z večjo vključenostjo sklepov (vsaj 5 prizadetih sklepov), visokimi vnetnimi kazalci v krvi, poškodbami sklepov na rentgenskih slikah (vidna destrukcija) in zunajsklepno prizadetostjo (zlasti daktilitisom).
V kliniki Medicofit vidimo najboljše rezultate zdravljenja prav pri pacientih, ki so s fizioterapijo pričeli takoj po postavljeni diagnozi.
Kako si lahko pomagate sami?
Za vas smo pripravili nekaj nasvetov, s katerimi si lahko pomagate sami pri obvladovanju bolečin v sklepih. Vsekakor pa moramo izpostaviti, da to ni nadomestek strokovni fizioterapiji.
Varujte svoje sklepe: Sprememba načina izvajanja vsakodnevnih nalog lahko naredi veliko razliko pri vašem počutju. Na primer, uporabljajte pripomočke, kot so odpirači za kozarce, da lažje odvijete pokrove, dvigujte težke predmete z obema rokama in vrata odpirajte s celim telesom, ne samo z rokami.
Ohranite zdravo telesno težo: To zmanjša obremenitev vaših sklepov, kar vodi v manj bolečin, več energije in boljšo gibljivost. Izguba teže (če je potrebna) lahko tudi izboljša učinkovitost vaših zdravil. Nekatera zdravila za psoriatični artritis so manj učinkovita pri ljudeh s prekomerno telesno težo.
Redna vadba: Vadba lahko pomaga ohranjati gibljivost sklepov in krepi mišice. Vrste vadbe, ki manj obremenjujejo sklepe, vključujejo kolesarjenje, plavanje, hojo in jogo.
Prenehajte kaditi: Kajenje je povezano z večjim tveganjem za razvoj luskavice in hujšimi simptomi artritisa.
Omejite uživanje alkohola: Alkohol lahko zmanjša učinkovitost vašega zdravljenja in poveča neželene učinke nekaterih zdravil, kot je metotreksat.
Pravilno tempirajte svoje aktivnosti: Boj proti bolečinam in vnetjem vas lahko pusti izčrpane. Poleg tega nekatera zdravila za artritis lahko povzročijo utrujenost. Ne prenehajte biti aktivni, vendar se spočijte, preden postanete preveč utrujeni. Vadbo ali delovne aktivnosti razdelite na krajše odseke.
Ključno je, da se čimprej vključite v fizioterapevtsko rehabilitacijo in preprečite nastanek večjih zapletov, ki jih prinaša nezdravljena bolezen.
Naročite se na zdravljenje psoriatičnega artritisa
Goodman C, Fuller K., Soft Tissue, Joint, and Bone Disorders. In: Hart CM, Waltner P, editors. Pathology Implications for the Physical Therapist. St. Louis: Saunders, 2009. P1288-89.
Fuller KS. Pathology: Implications for the Physical Therapist. Third Edition. St.Louis: Saunders Elsevier; 2009.
Goodman, Catherine. Chapter 12:Screening for Immunologic Disease. Differential Diagnosis for Physical Therapists.2013;374-75